予約可 | インプラントなら 安心・安全の日本橋インプラントオフィス | 東京
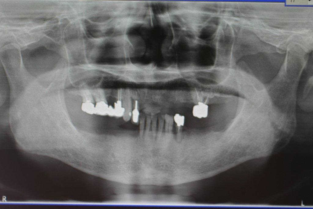
上・下多数の歯が欠損しているケースです。
1本の歯に対して、1本のインプラントで治したいという 患者様の希望により、上6本、下9本、合計15本のインプラントを 埋入し治療したケースです。